ABSTRACT
Carcinoma en cuirasse is a rear skin metastasis of breast cancer with diffuse cutaneous and subcutaneous infiltration of cancer cells that may affect the chest and abdomen. This condition is most commonly associated with breast cancer with local recurrence after mastectomy. But, rarely presents as primary presenting manifestation of the disease as happened in our reported case. These metastases are estimated at 0.7 to 9% and are primary presenting complaints in 37% of men and 6% of women. Guidelines for diagnosis and treatment of this condition are limited due to the small number of reported cases as a primary presentation. Doing more cohort studies of such rare primary presentation plays an important role in prevention of further metastasis and initiation of treatment as there is no particular treatment guidelines for such condition. We report a case of breast carcinoma en cuirasse in a 43 year old female with typical cutaneous and pathological features and systemic malignancy consulted in our OPD for the first time.
Key words: Carcinoma en cuirasse, breast cancer, skin metastasis.
BACKGROUND
Carcinoma en cuirasse is a rare skin metastasis of breast cancer with diffuse carcinomatous cutaneous and subcutaneous infiltration that may affect the chest and abdomen. Carcinomatous cells spread through interstitial space, bloodstream or lymphatic vessels and most commonly occurs as local recurrence after mastectomy [1], but this condition rarely presents as the primary presenting manifestation of the disease as happened in our reported case.These metastases are often estimated at 0.7 to 9% and are primary presenting complaint in 37% of men and six percent of women. [2,3], due to lack of awareness about the disease and poor socioeconomic background women do not recognize the initial signs and consult doctor early.Carcinoma en cuirasse was first described by Alfred Velpeau in 1838,a French surgeon, because of its resemblance to the metal breastplate of a cuirassier. It has also been called scirrhous carcinoma, pachydermia and Acarcine eburnee by various authors [4].Because of such rare type of primary presentation, the optimal approach to treatment has not been clearly defined. The systemic treatment like chemotherapy, radiotherapy and hormonal therapy has been associated with limited efficacy, and hence, the primary goal is palliative care and preservation of the quality of life of the patient.CASE REPORT
A 43year old female, homemaker, from Hadapsar, Pune, presented to OPD for the first time, with history of skin lesions, diffuse discoloration and hardening of entire right breast noticed since 2 months, associated with intermittent pain in that breast and back, a small lump in right breast which was insidious in onset, gradually progressive to present stage involving entire breast, with history of weight loss since 6 months.Multigravida, with no significant co-morbidities.No history of nipple discharge.Uneventful past history.No significant family history.On examination, the patient was average built with stable vitals.Local examination revealed diffuse blackish discoloration of entire right breast with retraction of nipple without any discharge. As per history lesions initially appeared as few small discrete cutaneous nodule and papules which progressively increased in size and coalesced to form a leathery indurated sheet including nipple and areola resembling a breast plate of armor, hence the condition is named so. Palpation revealed erythematous, indurated, non-tender plaque involving the entire skin overlying the right breast, entire breast is firm to hard in consistency with palpable axillary lymph nodes.[
GROSS FEATURES ANTERIOR VIEW,Image showing erythematous indurated, non-tender plaque involving the entire skin overlying entire right breast including nipple and areola with normal left breast.
Click here to view
]
[]
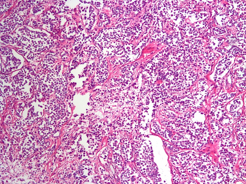
Her hemogram, serum electrolytes, RFT, LFT were within normal limits.Ultrasonography reported approximately 14x9x8cm heterogeneous lesion involving entire right breast with significant internal vascularity and right axillary lymphadenopathy.In FNAC, study revealed moderately cellular and shows small clusters of round to oval cells with anisonucleosis, high N:C ratio and scanty cytoplasm which was positive for malignancyTrucut biopsy revealed infiltrating ductal carcinoma and report regarding IHC markers are awaited. [
Trucut biopsy showing fibrocollagenous tissue infiltrated by tumor cells arranged in clusters and sheets of round to oval cells with high N:C ratio,hyperchromatic nuclei and scanty cytoplasm s/o infiltrating ductal carcinoma
Click here to view
]
Biopsy of skin showed the presence of tiny foci of groups of malignant epithelial cell, suggestive of cutaneous deposits of ductal carcinoma.[
Biopsy of skin showing tiny foci of malignant epithelial cells with lymphovascular invasion
Click here to view
]
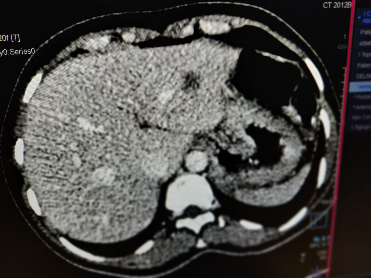
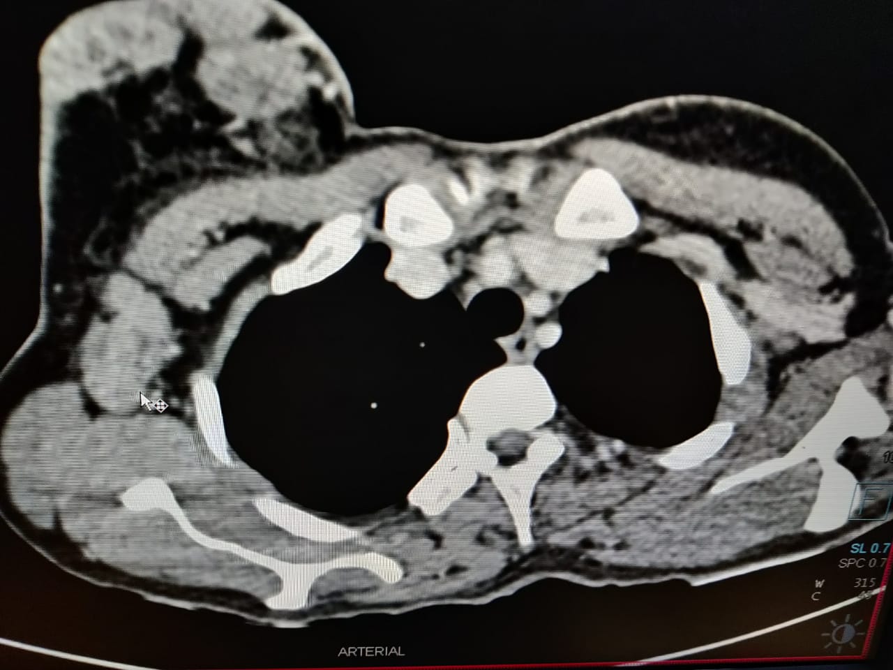
CECT revealed breast lesion extending posteriorly to involve pectoralis major muscle and metastatic lesion involving lungs, liver and lumbosacral vertebrae, making it a stage 4 breast carcinoma. []
[]
DISCUSSION
Tumor cells of breast carcinoma reach the skin through 3 routes of dissemination: hematogenic, lymphatic and by contiguity.In carcinoma en cuirasse, malignant cells spread through the lymphatic system and reach the skin of chest and abdomen.Carcinoma en cuirasse has also been described in neoplasms of the lung, gastrointestinal tract, kidney, vulva and penis.Our case emphasizes on diagnosis and identification of systemic malignancy in such primary presentation and to plan a strategic protocol for further management so as to prevent progression of the disease and preservation of the quality of life of the patient, as most of women in our rural population dominant country lack awareness about the disease and are hesitant to consult a doctor unless it affects their routine work.There is no proven studies that explains the scleroderma-like changes of the carcinoma en cuirasse, it is believed that pleiotrophin, a cell growth factor, acts as a signaling molecule that promotes the progressive fibrous growth or scirrhous growth in these carcinomas [5].In females, breast cancer is the commonest primary source of cutaneous metastases and about 23.9% of breast cancer patients have been reported to manifest cutaneous metastasis.These cutaneous metastases can occur in form of nodules and or papules or telangiectatic lesions in more than 90% cases and in this cancer en cuirasse accounts for only about 2-3 % of such lesions[5], which makes this a rare condition as a primary presentation, as happened in our reported case, otherwise it generally occurs as local recurrence after mastectomy[1].Conclusion
Breast cancer is the most common type of cancer in Indian female population and 66% of total Indian population constitutes rural population where women are hesitant to consult a doctor unless it is affecting their routine, as happened in our reported case and she was diagnosed with stage IV breast cancer with multiple systemic metastasis.Guidelines for diagnosis and treatment of cancer en cuirasse are limited due to the small number of reported cases as a primary presentation. It is of diagnostic importance because it may be the first manifestation of undiscovered internal malignancy (as in our patient) or first indication of an inadequately treated malignancy, it foretells poor prognosis.Hence females should be encouraged regarding self breast examination and should be educated to consult a doctor at the earliest when something abnormal is detected and more cohort study of such clinical presentations should be done to explore better treatment modalities and therapy guidelines as there is no particular management protocol for such rare presentations.REFERENCES
Carneiro FRO, Nascimento APL, Elo TFF, Carneiro SG, Rodrigues ABC. Departamento de oncologia cutânea. Metástase cutânea de carcinoma de mama - Relato de caso. An Bras Dermatol. 2005;80:S77–188.McKee PH, Calonje E, Granter SR. Cutaneous metastases and Paget's disease of the skin. In: McKee PH, Calonje E, Granter SR, editors. Pathology of the Skin with Clinical Correlations. Philadelphia: Elsevier Mosby; 2005. pp. 1514–1518.Carcinoma en cuirasse : a rare presentation of breast cancer.Mahore SD, Bothale KA, Patrikar AD, Joshi AM Indian J Pathol Microbiol. 2010 Apr-Jun; 53(2):351-8Carcinoma en cuirasse of the breast.Carlesimo M, Rossi A, De Marco G, Narcisi A, Cacchi C, Mari E, Persechino F, Camplone G Eur J Dermatol. 2009 May-Jun; 19(3):289-90.De Giorgi V, Grazzini M, Alfaioli B et al.Cutaneous manifestations of breast carcinoma. Dermatol Ther. 2010; 23:581-9.Lorentzen HF. Carcinoma “en cuirasse†from cutaneous squamous cell carcinoma in a renal transplant patient. Transplantation 85 (2008): 1065-1066. Thankyou!